〒108-0075 東京都港区港南2-5-11 大三洋行品川ビル4F
JR・京浜急行「品川駅」港南口より  徒歩3分

電話での問合せ・無料相談予約

0120-425-651
診療時間
月曜~金曜 10:00~13:30/15:00~19:00
土曜 10:00~13:30/15:00~17:00
休診日
日曜・祝日

品川の歯列矯正なら
品川港南歯科・矯正歯科クリニック

品川の矯正歯科で人気を集める清潔感のある明るい院内

この歯並び、本当にきれいになるのだろうか──。そう思いながら、なかなか一歩を踏み出せずにいる方がいるかもしれません。私自身、歯列矯正を経験しました。だからこそ、中度重度の歯並びに悩む方に寄り添い、輝く笑顔を取り戻すお手伝いをしています。

当院は品川駅港南口から徒歩3分。月々3,300〜9,400円からの分割払いに対応しており、平日19時・土曜も17時まで診療しています。お気軽にご相談ください。

 

 

矯正歯科の診療案内

品川で歯科矯正のおすすめプランを説明する様子

目立たないマウスピース矯正から歯を抜かない非抜歯矯正まで、幅広い選択肢をご用意。歯並びの状態やご希望に合わせて最適な矯正方法をご提案します。

 

透明で薄いマウスピース型の装置を使用するため、目立たない歯科矯正をご希望の方におすすめです。取り外しができて食事や歯磨きも普段どおり。ワイヤー矯正と比べて痛みが少ないというメリットもあります。

歯を抜きたくない患者さまには、非抜歯でも美しい歯並びを目指す歯科矯正をご提案いたします。

前歯など気になる部分だけを整えます。短期間で、費用を抑えて歯並びを矯正したい方に適した方法です。

ご自宅で行えるホームホワイトニングです。輝く白い歯を手に入れて、さらなる美しさを追求できます。

こんな歯並びで
お悩みではありませんか?

口元が気になる理由は人それぞれです。前歯の突出、噛み合わせのズレ、歯の重なり──どのような症状でも、まずは一度お話をお聞かせください。

口ゴボの歯並びイメージ図

口ゴボ
(上下顎前突)

上下の前歯がボコッと突出している

出っ歯の歯並びイメージ図

出っ歯
(上顎前突)

上の前歯が下の前歯より突出している

八重歯の歯並びイメージ図

八重歯
 

犬歯が歯列から飛び出している

受け口・しゃくれの歯並びイメージ図

受け口・しゃくれ
(反対咬合・下顎前突)

下の歯が上の歯より前に出ている噛み合わせ

叢生・乱杭歯の歯並びイメージ図

叢生・乱杭歯
(ガチャ歯)

歯がデコボコに重なり合っている

開咬の歯並びイメージ図

開咬
(オープンバイト)

奥歯を噛んでも前歯が閉じず隙間ができる

過蓋咬合の歯並びイメージ図

過蓋咬合
(ディープバイト)

上の前歯が下の前歯を深く覆い隠している

切端咬合の歯並びイメージ図

切端咬合
 

上下の前歯の先端同士がぶつかり合っている

当院の歯科矯正
4つの安心ポイント

Point
品川で歯の矯正のおすすめプランを説明する院長

矯正歯科を選ぶとき、何を基準にすればいいか迷っていませんか?技術力、サポート体制、費用──当院が多くの患者さまに選ばれている理由をご紹介します。

Point01

年間150症例以上を手がける
ダイヤモンド認定医

インビザライン・ダイヤモンドプロバイダー認定証

当院の院長は、インビザライン社より、3年連続で最高クラス「ダイヤモンド・プロバイダー」の認定を受けています。これは年間150症例以上の治療実績を持つ歯科医師のみに与えられる称号です。

2022年から3年連続プラチナエリート以上のランクを維持し、2024年にはダイヤモンドへ到達。軽度から重度まで、さまざまな歯並びのお悩みと向き合ってきました。

同じインビザライン矯正でも、担当医の経験値によって仕上がりに差が出ることがあります。歯をどの順番で、どの方向に、どれだけ動かすか。その判断一つひとつが、歯並びだけでなく横顔フェイスラインの美しさにも影響します。豊富な経験を活かし、見た目の美しさまで考慮した矯正治療をご提供いたします。

Point02

治療を断られた
中度重度の症例も対応可能

複雑な歯並びの治療計画を立てる院長

歯並びの症状によっては、歯科矯正を断られてしまうことがあります。「せっかく勇気を出して相談に行ったのに、治療を受けられなかった」、そんな経験をお持ちの方もいらっしゃるかもしれません。

当院が採用するインビザラインは、奥歯を含めた全体の歯を動かせる矯正システムです。前歯だけでなく奥歯の位置からしっかり整えることで、難易度の高い症例も治療できます。

歯列矯正を断られたことがある方も、諦める前にぜひ一度ご相談ください。年間150症例以上を手がけるダイヤモンドプロバイダーの院長が、中度から重度の複雑な歯並びにも責任を持って対応いたします。

Point03

元矯正患者だからこそ
あなたの悩みに寄り添える

品川港南歯科・矯正歯科クリニックのスタッフたち

院長は、幼少期に歯科矯正を受けた元矯正患者です。装置の装着感や周囲の目が気になる感覚、そして歯並びが整ったときの喜び、すべてを身をもって経験しているからこそ、患者さまのお気持ちに寄り添えます。

「痛みが心配」「続けられるか不安」といったお悩みにも、経験者だからこそお答えできることがあります。スタッフの多くも元矯正患者ですので、日常生活での工夫や装着のコツなど、実体験に基づいたアドバイスが可能です。

歯の矯正に興味があっても、費用面で一歩を踏み出せない方もいらっしゃるのではないでしょうか。

当院では最大120回までのデンタルローンをご用意しています。まとまった費用をご準備いただかなくても大丈夫。月々3,300〜9,400円からマウスピース矯正を始めていただけます。

軽度 : インビザライン・エクスプレス

治療費 33万円(上下) 月々3,300円

中度 : インビザライン・ライト

治療費 44万円(上下どちらか)
治療費 55万円(上下)
月々4,400円
月々5,500円

重度 : インビザライン・フル
(コンプリヘンシブ)

治療費 82.5万~93.5万円 月々8,300
9,400円
  • 私の歯並びはきれいになる?
  • 治療費期間はどの程度かかる?
  • 本当に顔も美しくなるの?

こうした疑問や不安を解消できる無料相談を実施中です。所要時間はおよそ60分ほど。院長がお口の中を拝見しながら、皆さまのお悩みやご希望を伺います。

相談では無料の簡易シミュレーションも体験可能です。矯正後の歯並びはもちろん、お顔立ちの変化もイメージしていただけます。

まだ迷っている段階でも構いません。ご興味のある方は、ぜひお気軽にご相談ください。

矯正歯科の費用を
少しでも安く抑えるために

「矯正は高い」というイメージから、治療を諦めていませんか。当院では費用面のハードルを少しでも下げられるよう、さまざまな仕組みを整えています。
 

別請求となりやすい相談料診断料を、当院では無料でご提供しています。

「まずは話を聞いてみたい」「自分の歯並びでも矯正できるか知りたい」という検討段階の方も、費用を気にせずご相談いただけます。
 

医療費控除の活用で賢く安く

品川で歯科矯正を安い費用で抑えたい方におすすめの医療費控除イメージ

歯の矯正は医療費控除の対象になる場合があります。

例えば、年収360万円の方が約33万円の治療を受けた場合、およそ6万9千円還付を受けられる計算になり、実質負担を26万1千円程度まで軽減できるのです(概算)。

制度を上手く活用することで自己負担額を抑えられます。費用がネックで迷っていた方も、一歩を踏み出しやすくなるのではないでしょうか。

歯科矯正は数か月から数年にわたる通院が必要なため、無理なく通院できる立地と診療時間が大切です。当院は忙しい方でも続けやすい環境を整えています。

JR・京浜急行「品川駅」港南口から徒歩わずか3分。駅からの動線がシンプルなので、仕事帰りやお出かけのついでにも立ち寄りやすい立地です。

お車でお越しの際は近隣の駐車場をご利用ください。

【品川港南歯科・矯正歯科クリニック】
住所
〒108-0075
東京都港区港南2-5-11 大三洋行品川ビル4F

診療時間
10:00~13:30
15:00~19:00

休診日:日曜・祝日 ▲:15:00~17:00

矯正治療は定期的な通院が必要になるため、ご自身のライフスタイルに合った時間帯に通えるかどうかは大切なポイントです。

平日夜19時まで、土曜日17時まで診療している当院なら、仕事帰りに立ち寄ることも、土曜日にまとめて予定を入れることも可能。忙しい方でも無理なく治療を続けていただけます。

 

当院の矯正歯科の特徴

Feature

矯正治療をより効果的に、快適に、そして安心して受けていただくために、当院が大切にしている取り組みをご紹介します。

きれいな横顔と体の健康
両方を叶える矯正

横顔のEラインが整った健康的な女性

当院が提供するのは、前歯の歯並びだけでなく奥歯の噛み合わせまで整える矯正です。口元のバランスが整うことで、Eラインフェイスラインの印象まで美しく変化します。

さらに、噛み合わせが整えばあごへの負担も減り、結果としてコリが改善されるなど、体の健康にも良い影響が期待できます。

歯並びを整えることが、美しさ健康の両方につながる。それが当院の歯列矯正の魅力です。

40代50代など
大人の歯列矯正にも対応

品川で歯科矯正を検討中の方に人気の治療を受けた40代女性

「この年齢から矯正しても遅いかな…」と迷っていませんか。

歯列矯正に年齢制限ありません。歯と歯茎が健康であれば、何歳からでも矯正可能です。実際に当院にも40代、50代、さらには60代以上の患者さまが多く来院されています。

人生100年時代、これから先もご自身の歯で健康に過ごすために、今歯並びを整えておくことには大きな意味があります。差し歯ブリッジがある方も対応可能ですので、お気軽にご相談ください。

虫歯歯周病の治療も
お任せください

品川で歯並びの歯科治療も対応する様子

当院は矯正だけでなく、虫歯・歯周病治療などの一般歯科にも対応しています。

矯正専門の医院では他院で虫歯治療を済ませてから来院するよう言われることもありますが、当院ならその必要はありません。矯正前の治療から矯正中のケアまで、すべて当院で完結できます。

定期的なクリーニングも実施していますので、矯正中のお口健康管理もお任せください。

未来の歯並びをイメージできる
無料シミュレーション

歯列矯正を検討中の方におすすめの3Dシミュレーション

矯正後の歯並びはどうなるんだろう…。本当に横顔もきれいになるの?そんな不安を抱える方もいらっしゃるかと思います。

当院では、最新の口腔内スキャナーを使用した3Dシミュレーション無料でご提供しています。

矯正後の歯並びを画面上で確認できるだけでなく、専用アプリを使ってお顔立ちの変化もシミュレーション可能。歯並びが整ったあと、自分のがどう変わるのかをイメージしたうえで治療をご検討いただけます。

プライバシーに配慮した
個室の診療空間

清潔感のある個室診療室

当院の診療スペースは5つすべてが個室タイプです。他の患者さまの目を気にすることなく、リラックスして治療を受けていただけます。

歯並びの悩みはデリケートなもの。周囲を気にせず相談できる環境があれば、安心してお話しいただけるのではないでしょうか。

落ち着いた雰囲気づくりにこだわり、緊張を和らげる空間を整えていますので、遠慮なくご相談ください。

症例紹介

Case introduction

歯並びの矯正でどのくらい変化があるのか、実際の症例をご覧ください。
 

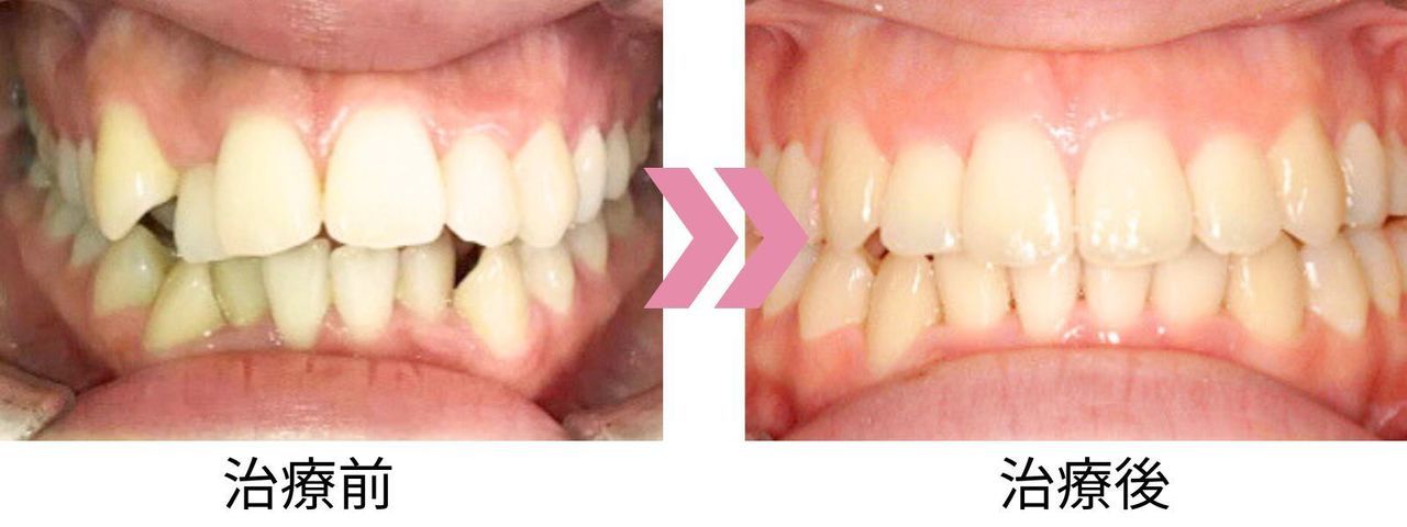
受け口・開咬(オープンバイト) 19歳男性

下顎前突と開口の治療前後の比較写真

主訴

歯並びを治したい
治療内容
マウスピース矯正インビザラインによる非抜歯治療
治療費
950,000円(税込)
治療期間・回数

2年2か月

リスク・副作用

インビザライン治療は、矯正装置(アライナー)の適切な装着が不可欠です。
装着方法や装着時間が適切でない場合、計画通りに歯が移動しない可能性があります。

※治療費は治療当時の費用です

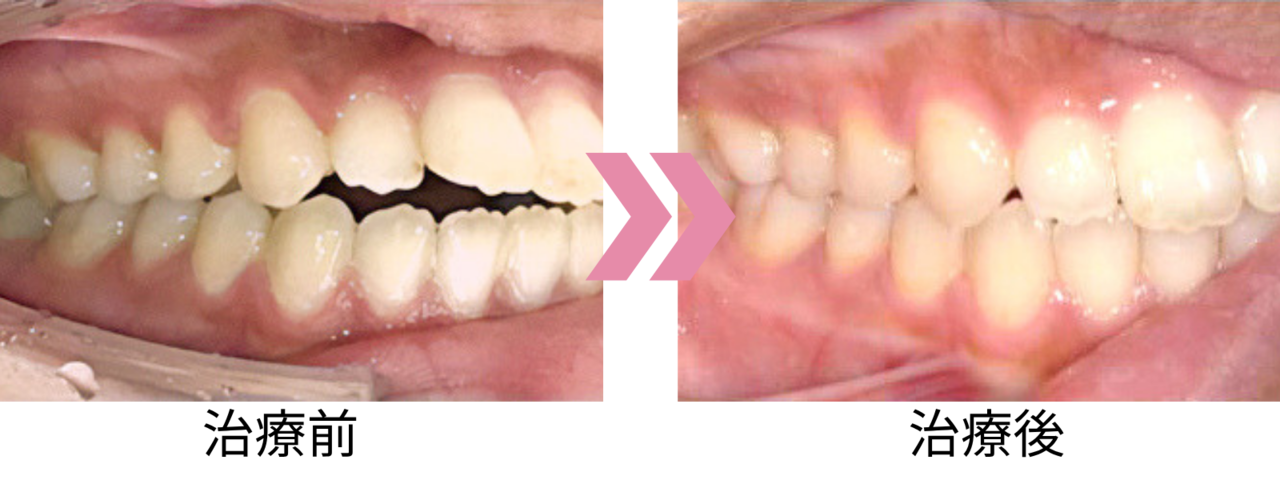
叢生(重度のガタガタ) 24歳女性

叢生と開咬の治療前後の比較写真

主訴

抜歯をしないで歯並びを治したい
治療内容
マウスピース矯正インビザラインによる非抜歯治療
治療費
950,000円(税込)
治療期間・回数

約2年6か月

リスク・副作用

インビザライン治療は、矯正装置(アライナー)の適切な装着が不可欠です。
装着方法や装着時間が適切でない場合、計画通りに歯が移動しない可能性があります。

※治療費は治療当時の費用です

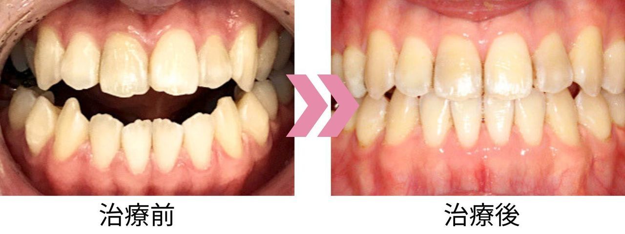
出っ歯・開咬(オープンバイト) 27歳女性

上顎前突の治療前後の比較写真

主訴

来年に結婚式があり、それまでに歯並びを綺麗にしたい
治療内容
マウスピース矯正インビザラインによる非抜歯治療
治療費
850,000円(税込)
治療期間・回数

1年

リスク・副作用

インビザライン治療は、矯正装置(アライナー)の適切な装着が不可欠です。
装着方法や装着時間が適切でない場合、計画通りに歯が移動しない可能性があります。

※治療費は治療当時の費用です

年代別の歯列矯正

20代向け矯正歯科治療について説明したページへのリンク

20代の矯正治療

自己投資として矯正を選ぶ方が増えています。

30代向け矯正歯科治療について説明したページへのリンク

30代の矯正治療

忙しい毎日でも続けやすい治療法があります。

40・50代向け矯正歯科治療について説明したページへのリンク

40・50代の矯正治療

将来の歯の健康を見据えて始める方が多い年代です。

60代向け矯正歯科治療について説明したページへのリンク

60代の矯正治療

セカンドライフを輝く笑顔で楽しみませんか?

歯科矯正の流れ

Flow
無料相談・カウンセリングを受ける患者の様子
 無料相談
 カウンセリング
CTやレントゲンで精密検査を行う様子
 精密検査
治療計画を画面で説明する院長
 治療計画
(クリンチェック)
契約書類に記入するイメージ
 ご契約
マウスピースを受け取り治療を開始する様子
 治療開始
定期検診で経過を確認する様子
 治療の経過観察
治療完了後に笑顔を見せる患者
 治療終了
リテーナーを装着して保定期間に入る様子
 保定期間に移行

よくあるご質問

患者さまが疑問に感じやすいポイントについて、Q&A形式でまとめました。こちらに記載のないご質問は、無料相談でお気軽にお尋ねください。

歯の矯正にかかる総額はいくら?


歯並びの症状によって矯正費用は変動します。例えば、当院の料金体系は以下の通りです。

軽度 : インビザライン・エクスプレス

治療費 33万円(上下) 月々3,300円

中度: インビザライン・ライト

治療費 44万円(上下どちらか)
治療費 55万円(上下)
月々4,400円
月々5,500円

重度: インビザライン・フル
(コンプリヘンシブ)

治療費 82.5万~93.5万円 月々8,300
9,400円

デンタルローンをご利用いただければ月々3,300〜9,400円からの分割払いも可能。まとまった費用を準備する必要はありません。

より詳細な金額は、お口の状態を拝見した上でご案内いたします。品川で歯の矯正を安い費用で始めたい方は、ぜひ無料相談にお越しください。

治療期間は平均どのくらい?


歯並びの状態や治療プランによって異なりますが、軽度で3〜6か月、中度で3〜8か月、重度で1〜3年程度が目安です。

より正確な治療期間をお知りになりたい方は、無料相談にいらしてください。詳細な診断のもと、より具体的な期間をお伝えします。

歯列矯正中は痛みを感じるの?


マウスピース矯正は歯を0.25mm単位で少しずつ動かすため、ワイヤー矯正と比べて痛みが少ないのが特徴です。新しいマウスピースに交換した直後の2〜3日は締め付け感がありますが、多くの方は数日で慣れていきます。

院長スタッフにも矯正経験者がおりますので、「つけ始めはどんな感じ?」「もし痛みがあればどう対処すればいい?」といったご質問にも、治療を受けた側の目線でお答えできます。気になることがあれば遠慮なくお聞きください。

マウスピース矯正は
どんな人に向いている?


矯正中だと気づかれたくない方、痛みに不安がある方、食事や歯磨きを普段どおり行いたい方などです。

マウスピースは透明で薄いため、装着していても周囲からほとんど気づかれません。取り外しができるので食事制限もなく、歯磨きも普段どおり行えます。また、歯を少しずつ動かしていくため、ワイヤー矯正と比べて痛みが少ないのも特徴です。

なお、効果を得るにはマウスピースを1日20時間以上装着する必要があります。食事と歯磨き以外の時間は基本的につけたままお過ごしください。

歯科矯正に年齢制限はある?


年齢制限ありません。歯と歯茎が健康であれば何歳からでも歯科矯正は可能です。当院でも40代、50代、さらには60代以上の患者さまが治療を受けていらっしゃいます。

歯並びや噛み合わせを整えることは、見た目の美しさだけでなく将来の健康を守ることにもつながります。気になったときが始めどきですので、お気軽にご相談ください。

矯正中の虫歯や歯周病の治療は
どうすればいい?


当院は矯正治療だけでなく、虫歯歯周病の治療にも対応しています。矯正中に虫歯ができてしまっても、他院に通う必要はありません。

マウスピースは取り外せるため、虫歯治療を行いながら歯列矯正を継続できます。また、矯正期間中は定期的なクリーニングも実施していますので、虫歯や歯周病の予防もお任せください。

矯正後に歯並びが
後戻りすることはある?


矯正が終わった直後は、歯が元の位置に戻ろうとする後戻りが生じやすくなります。

そのため、矯正後は「リテーナー」と呼ばれる保定装置を使って歯並びを安定させることが大切です。リテーナーをきちんと装着いただければ、後戻りを防いで美しい歯並びを長く保てます。

当院では矯正終了後も4〜6か月に1回の来院をおすすめしており、歯並びの安定をしっかりサポートいたします。

 

院長からのご挨拶

Greeting
品川で多くの患者の歯を矯正してきた院長

私は小学2~3年生の頃、兄の影響でワイヤー矯正を経験しました。装置の痛みや見た目が気になることもあり、子供ながらに「もっと楽な方法があればいいのに」と感じていたことを覚えています。

矯正歯科医師となった今、患者さまから「矯正って痛いですか?」「目立ちませんか?」とご質問をいただくたびに思い出すのは、あの頃の気持ち。

痛み見た目不安がどれほど大きいか、自分自身が経験しているからこそ──もし自分の子供が矯正をするなら、もっと負担の少ない方法を選んであげたいと考えるようになりました。

その想いが、私がマウスピース矯正に力を注ぐ原点です。マウスピース矯正はワイヤー矯正と比べて痛みが少なく、ご説明の際は「ワイヤー矯正の10分の1程度の痛み」とお伝えしています。

また、透明で目立ちにくく、取り外しもできるため、矯正中の日常生活への負担軽減が期待できるのもメリットです。

当院ではすべての症例をマウスピース矯正で対応しており、他院で治療を断られた中度重度の歯並びの方にも、まずはお話を伺った上で治療の可能性を探ります。

おかげさまで、インビザライン社からは3年連続プラチナエリート以上の認定を受け、2024年には最高クラスである「ダイヤモンド」に認定いただきました。こうした豊富な経験を活かし、一人ひとりに合った方法をご提案いたします。

歯並びが変われば笑顔変わる。笑顔が変われば、毎日がもっと楽しくなる。そんな未来を一緒に実現しましょう。どうぞお気軽にご相談ください。

※治療の効果や痛みの感じ方には個人差があります。

 

プロフィール

経歴

  • 2012年3月 昭和大学歯学部 卒業
  • 2013年3月 昭和大学大学病院臨床研修 修了
  • 2013年4月 都内医療法人歯科医院 勤務
  • 2015年4月 分院展開により分院長就任
  • 2020年10月 品川港南歯科・矯正歯科クリニック 開院

資格

  • 歯科医師
  • インビザライン・プラチナエリートプロバイダー(2022〜2024年)
  • インビザライン・ダイヤモンドプロバイダー(2024~2026年)

口元のコンプレックスを解消して、思いきり笑える毎日へ──その第一歩を、当院の無料相談から始めてみませんか。

無料相談は60分。院長が直接お口の中を拝見しながら、あなたのお悩みやご希望を伺います。3Dシミュレーションで矯正後の歯並びお顔変化をご確認いただくことも可能です。

治療内容や費用期間についても丁寧にご説明しますので、気になることは何でもご質問ください。

あなたの輝く笑顔を取り戻すお手伝いができることを楽しみにしています。

診療時間

 
午前
午後

午前:10:00~13:30
午後:15:00~19:00 ▲:15:00~17:00
休診日:日曜・祝日

アクセス

〒108-0075
東京都港区港南2-5-11
大三洋行品川ビル4F